Call (818) 990-5090

Crown Lengthening

Crown Lengthening in Encino, CA

Periodontal procedures are available to lay the groundwork for restorative and cosmetic dentistry and/or to improve the esthetics of your gum line.

Your dentist may also recommend crown lengthening to make a restorative or cosmetic dental procedure possible.

Crown lengthening for restorative reasons: Perhaps your tooth is decayed, broken below the gum line, or has insufficient tooth structure for a restoration, such as a crown or bridge. During the crown lengthening procedure, Dr. Grasu adjust the gum and bone level to expose more of the tooth so it can be restored. After healing, your general dentist can place a well-sealed, properly fitting restoration. Such a restoration has a much better long-term success.

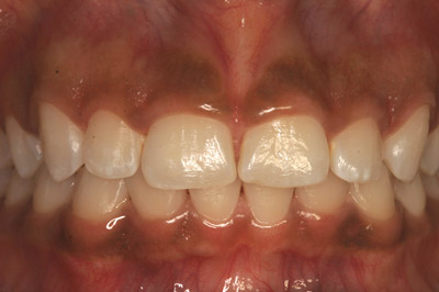
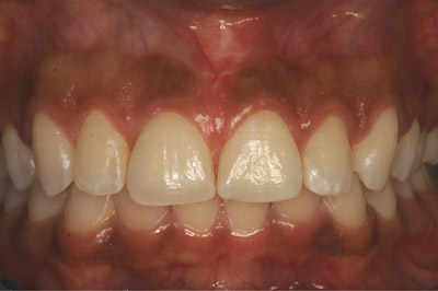
Crown lengthening for aesthetic reasons: You may have a “gummy” smile or your teeth appear short because they are partially covered with too much gum tissue. To correct this, the periodontist can perform a crown lengthening procedure. During this procedure, excess gum and bone tissue are reshaped to expose more of the natural tooth. This can be done to one tooth, to even your gum line, or to several teeth to expose a natural, broad smile. This procedure does not weaken the support of the teeth. Most of the time, the periodontist only exposes the enamel of the teeth, which is meant to be above the gumline. Also, the gums are repositioned higher as opposed to being reduced or removed.

Esthetic CL BEFORE

BEFORE

Esthetic CL AFTER

AFTER

SCHEDULE AN APPOINTMENT TODAY