Call (818) 990-5090

Periodontal Plastic Procedures Grafts

Periodontal Plastic Procedures Grafts in Encino, CA

Periodontal plastic surgery has experienced a significant shift toward cosmetic-related surgery to help improve smiles. Dr. Grasu is an expert in periodontal plastic procedures.

A recent poll of 253 consumers conducted by the American Academy of Periodontology found the following:

  • 50 percent consider the smile the first facial feature they notice
  • 80 percent are not happy with their smile
  • Respondents were seven times more likely to have periodontal, smile enhancement procedures than face-lifts
  • Smile enhancement procedures outnumbered eyelid surgeries five to one

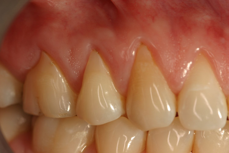
Long Teeth/Exposed Roots

Sometimes gum recession causes the tooth root to become exposed, which makes your teeth look long and can make you look older than you are. This recession can happen as a result of a variety of causes, including periodontal diseases. Whatever the reason, exposed roots are unappealing and can leave you at risk of developing cavities on your tooth root. Soft tissue grafts and other root coverage procedures are designed to cover exposed roots, to reduce further gum recession and to protect vulnerable roots from decay.

BEFORE
BEFORE
AFTER
AFTER

Gummy Smile or Uneven Gum Line

If your smile is too gummy or your gums cover too much of some teeth then crown lengthening may be indicated. During this procedure, the excess gum tissue is removed to expose more of the crown of the tooth. Then your gumline is sculpted to give your new smile just the right look.

Missing Teeth

If you have missing teeth dental implants may be indicated. Dental implants are a more natural looking option compared to dentures or bridges because implants look and feel just like your own teeth. They also allow you to speak and eat with comfort and confidence.

During this procedure, an artificial tooth root is placed into your jaw, and after a healing period, an artificial tooth is attached to the root.

  • More about dental implants

Indentations in the Gums and Jawbone

Tooth loss can cause an indentation in the gums and jawbone where the tooth used to be. This happens because the jawbone recedes when it no longer is holding a tooth in place. Not only is this indention unnatural looking, it also causes the replacement tooth to look too long compared to the adjacent teeth.

Ridge augmentation can fill in this defect recapturing the natural contour of the gums and jaw. A new tooth can then be created that is natural looking, easy to clean and beautiful.

Combination Procedures

Oftentimes, periodontists may use several different types of procedures to build a framework for your perfect smile.

Soft Tissue Grafts

Exposed tooth roots are the result of gum recession. Recession may occur due to a variety of reasons, including genetic pre-disposition, aggressive tooth brushing, heavy grinding or periodontal disease.

Soft tissue grafts can be used to cover roots and develop new, stronger gum tissue over the area of gingival recession. During this procedure, Dr. Grasu transfers gum tissue from your palate or another donor source to cover the exposed root. This can be done for one tooth or several teeth to even your gum line, provide stronger support around the treated teeth.

What are the benefits of this procedure?

A soft tissue graft can prevent further recession and bone loss. In many cases, it can cover exposed roots to protect them from decay. This will improve periodontal health, the aesthetics of your smile and it may reduce tooth sensitivity.

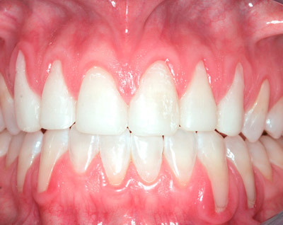
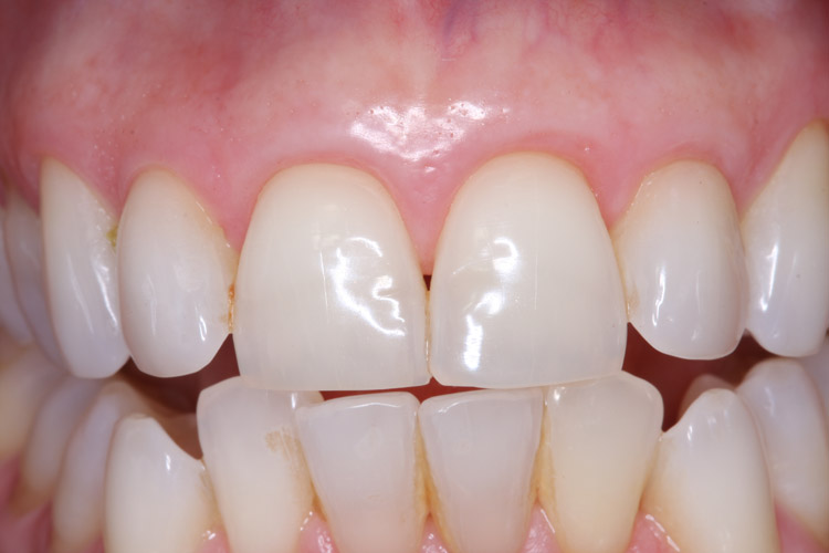
Gingival graft for root coverage BEFORE
Root coverage upper front BEFORE
Root coverage BEFORE
AFTER
AFTER
AFTER

SCHEDULE AN APPOINTMENT TODAY